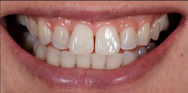
Ulusoydent Gülüşü
Bazı insanlar gülümserken kendini saklar .Biz o gülüşü saklanacak birşey olmaktan çıkarıyoruz.
Ulusoydent’te her gülüş, yüzünüzle uyumlu ve tamamen size özel olarak tasarlanır.
Tedaviye başlamadan önce sonucu birlikte planlar ,içinize sinen gülüşü birlikte oluştururuz.
Güzel bir gülüş taklit edilemez… sadece size ait olur.
Sizin için en doğal gülümsemeyi birlikte planlayabiliriz.
Mutlu Danışan

Biz Kimiz ?
Hacettepe Üniversitesi Diş Hekimliği Fakültesi mezunu Diş Hekimi Meryem Ulusoy önderliğinde, çağdaş diş hekimliği anlayışıyla kurulmuştur. Bilimsel temelli yaklaşımı, estetik vizyonu ve hasta odaklı hizmet anlayışıyla kısa sürede bölgesinde güvenilen bir sağlık merkezi haline gelmiştir.
Modern diş hekimliğinin sunduğu tüm yenilikleri yakından takip eden kliniğimizde; estetik diş hekimliği, implant tedavileri, ortodonti, çocuk diş sağlığı ve koruyucu uygulamalar başta olmak üzere birçok alanda hizmet sunmaktayız.

Deneyimli Ekip

İleri Teknoloji ve Modern Yaklaşım

Şeffaf Hizmet ve Tam Destek

Güven ve Profesyonellik
Yıllık Tecrübe
Kliniğimizde, ağız ve diş sağlığınızı bütüncül bir yaklaşımla ele alıyoruz. Fonksiyonel çiğneme gücünü geri kazandırmaktan, hayalinizdeki estetik gülüşü tasarlamaya kadar geniş bir yelpazede, en güncel teknolojileri kullanarak kalıcı çözümler üretiyoruz.
Diş Hekimi Meryem Ulusoy, lisans eğitimini Hacettepe Üniversitesi Diş Hekimliği Fakültesi’nde tamamlamıştır. Mesleki kariyerini sadece klinik başarıyla değil, aynı zamanda yönetim ve iletişim becerileriyle desteklemek amacıyla İstanbul Üniversitesi Sağlık Kurumları İşletmeciliği bölümünde lisansüstü eğitim almıştır.
Mesleki uzmanlık alanları arasında estetik diş hekimliği, dijital gülüş tasarımı, hipnoterapi destekli dental tedaviler ve hasta odaklı klinik yaklaşım yer almaktadır. Özellikle diş hekimi korkusu yaşayan bireyler için geliştirdiği bütüncül yöntemlerle, tedaviye erişimde önemli bir fark yaratmaktadır.
Meryem Ulusoy, Sağlık Bakanlığı GETAT onaylı Hipnoz Eğitimi’nin yanı sıra, Klinik Hipnoz Akademisi bünyesinde birçok ileri seviye uygulamalı eğitim almıştır. Aldığı eğitimler arasında:
Kliniğimizde, ağız ve diş sağlığınızı bütüncül bir yaklaşımla ele alıyoruz. Fonksiyonel çiğneme gücünü geri kazandırmaktan, hayalinizdeki estetik gülüşü tasarlamaya kadar geniş bir yelpazede, en güncel teknolojileri kullanarak kalıcı çözümler üretiyoruz.






Kliniğimizin en büyük gücü, alanında uzmanlaşmış hekimlerimizdir. Yılların getirdiği tecrübe ve akademik birikimi, her hastamızın özel ihtiyaçlarına yönelik tedavi planlarına dönüştürüyoruz.
Dijital görüntüleme sistemleri ve en yeni tedavi teknolojileriyle, teşhis sürecini hızlandırıyor ve hata payını minimuma indiriyoruz. Geleneksel yöntemlerin ötesinde, konforlu ve hassas bir tedavi süreci sunuyoruz.
"Diş hekimi korkusunu" tarihe gömüyoruz. Modern anestezi teknikleri ve hasta konforunu ön planda tutan yaklaşımımızla, tedavilerinizi huzurlu ve ağrısız bir ortamda tamamlamanızı sağlıyoruz.
Sizin sağlığınız bizim için her şeyden önemli. Uluslararası standartlarda sterilizasyon protokolleri uyguluyor, her hastamız için tam güvenli ve hijyenik bir klinik ortamı garanti ediyoruz.



'da yayınlandı şeyma keçeciTrustindex, incelemenin orijinal kaynağının Google olduğunu doğrular. 3 dolgu ve diş temizliği yaptırdım çok memnun kaldım benim her zaman tercih ettiğim bir klinik memnunum.'da yayınlandı Erdal AltundagTrustindex, incelemenin orijinal kaynağının Google olduğunu doğrular. Ulusoydent Ağız & Diş Sağlığı Polikliniği ekibine gönülden teşekkür ederim. Süreç boyunca hem profesyonel hem de oldukça ilgili bir yaklaşım gördüm. Tedavi öncesi yapılan detaylı bilgilendirme ve işlem sırasındaki titizlik gerçekten güven vericiydi. Hijyen, güler yüz ve hasta memnuniyetine verilen önem sayesinde kendimi çok rahat hissettim. Diş tedavisi konusunda tereddüt yaşayan herkese gönül rahatlığıyla tavsiye ederim. Emeği geçen herkese tekrar teşekkürler 🙏'da yayınlandı fırat kayaTrustindex, incelemenin orijinal kaynağının Google olduğunu doğrular. istanbul'da bu kadar ilgili ve profesyonel bir diş kliniği bulmak gerçekten zor. Doktorları deneyimli, ekip çok sıcakkanlı ve güler yüzlü, klinik son derece temiz.Tedavi süreci beklediğimizden çok daha rahat geçti.Bundan sonra ailece diş konusunda tek adresim burası olacak. Böyle ilgili ve güven veren ekip bulduğum için çok mutluyum.'da yayınlandı Ayşegül KaradumanTrustindex, incelemenin orijinal kaynağının Google olduğunu doğrular. Önceliklle Güleryüz tatlı diliniz sonrasında yaptığınız tüm işlemler her yönüyle harikaydı. Herkese tavsiye ederim'da yayınlandı burhan çağlarTrustindex, incelemenin orijinal kaynağının Google olduğunu doğrular. Harika bir yer sorunumuzu hemen halletti ailecek gidiyoruz her şey mükemmel'da yayınlandı Serap AktarTrustindex, incelemenin orijinal kaynağının Google olduğunu doğrular. Çalışanların güler yüzü ve Meryem hanımın ilgisi için teşekkür ederim'da yayınlandı Dursun GüngörTrustindex, incelemenin orijinal kaynağının Google olduğunu doğrular. Merhabalar Kliniğinizde yapılan kanal tedavisi işleminin aynı dişe ikinci kez yapılması ücretli mi? Teşekkürler
Kliniğimizin temel taşını, alanında uzman hekimlerimiz ve güler yüzlü sağlık personelimiz oluşturuyor. Modern diş hekimliğinin tüm olanaklarını kullanarak, her hastamıza kişiselleştirilmiş bir tedavi deneyimi sunuyoruz. Sadece dişlerinizi tedavi etmekle kalmıyor, kliniğimizden mutlu ve özgüvenli bir gülümsemeyle ayrılmanız için ekip ruhuyla çalışıyoruz.
Ağız ve diş sağlığınızla ilgili her türlü randevu talebi ve bilgi gönderimi için iletişim kanallarımız üzerinden bizimle irtibata geçebilirsiniz. Uzman kadromuz, en kısa sürede size dönüş yaparak planlamanızı gerçekleştirecektir.